Az Emberi Test Építőkövei: Szövetek és Sejtek Működése
Az emberi test egy lenyűgöző és rendkívül összetett biológiai rendszer, amelynek alapvető építőkövei a sejtek, melyek szövetekké szerveződve látnak el specifikus funkciókat. Ezen szövetek és sejtek megértése kulcsfontosságú az emberi szervezet működésének, egészségének és betegségeinek feltárásához. Ez a részletes ismertető arra vállalkozik, hogy bemutassa az alapvető szövettípusokat, a sejtek szerkezetét és működését, valamint azoknak az élettani folyamatoknak a mechanizmusait, amelyek fenntartják az életet.
1. Anatómiai Alapfogalmak és Irányjelölések
Az emberi test leírásához és megértéséhez elengedhethetetlenek az anatómiai alapfogalmak és az egységes irányjelölések. A testet képzeletbeli síkokkal és tengelyekkel tagoljuk, hogy pontosan meghatározhassuk a szervek és struktúrák helyzetét.
1.1. Az Emberi Test Főbb Síkjai és Irányai
Az emberi test szimmetriájának megértése alapvető. A test alapvetően kétoldali szimmetriát mutat, azaz két tükörképszerűen azonos félre osztható. A sagittalis sík függőlegesen fut, és a testet jobb és bal oldalra osztja. A frontalis (coronalis) sík szintén függőlegesen fut, de a testet elülső (ventralis, anterior) és hátulsó (dorsalis, posterior) részre osztja. A transversalis (horizontális) sík vízszintesen fut, és a testet felső (superior, cranialis) és alsó (inferior, caudalis) részre tagolja.
Ezen síkok mentén definiáljuk az irányokat is:
- Superior/Cranialis: Felső irányban, a fej felé.
- Inferior/Caudalis: Alsó irányban, a farok (vagy a lábfej) felé.
- Anterior/Ventralis: Elülső irányban, a test elülső felszíne felé.
- Posterior/Dorsalis: Hátulsó irányban, a test hátulsó felszíne felé.
- Medialis: A test középvonalához közelebb eső.
- Lateralis: A test középvonalától távolabb eső.
- Proximalis: A törzshöz közelebb eső (főként végtagoknál).
- Distalis: A törzstől távolabb eső (főként végtagoknál).
A mozgások leírásánál három fő tengelyt használunk:
- Sagittalis tengely: Elöl-hátul fut, és a testet oldalirányú mozgásokra (pl. abdukció, addukció) teszi képessé.
- Frontalis (transversalis) tengely: Oldalról-oldalra fut, és a testet hajlító-feszítő mozgásokra (flexió, extensió) teszi képessé.
- Vertikális tengely: Felülről-alulra fut, és a testet forgó mozgásokra (rotáció) teszi képessé.

2. A Sejt: Az Élet Alapvető Egysége
A sejt az élő szervezet alapvető, önálló működési egysége. Bár a sejtek sokféle típusa létezik, alapvető szerkezetük és működésük hasonló.
2.1. A Sejt Szerkezete és Alkotórészei
A sejt külső határát a sejtmembrán alkotja, amely kettős foszfolipid rétegből épül fel. Ez a réteg rugalmasan tartja a sejtet, és szabályozza az anyagok átjutását. A membránban fehérjék, szénhidrátok és lipidek is találhatók, amelyek különböző funkciókat látnak el, mint például az anyagtranszport vagy a sejtek közötti kommunikáció.

A sejten belül található a citoplazma, egy gélszerű anyag, amelyben a sejtszervecskék helyezkednek el. Ide tartoznak:
- Sejtmag (nucleus): Tartalmazza a genetikai információt hordozó DNS-t. A sejtmagot sejtmagmembrán határolja el a citoplazmától.
- Mitochondriumok: A sejtek "erőművei", ahol az aerob légzés során ATP formájában energia termelődik. Saját DNS-sel rendelkeznek, és anyai ágon öröklődnek.
- Endoplasmás Retikulum (ER): Membránrendszer, amely a fehérjeszintézisben (durva felszínű ER, riboszómákkal) és a lipidek, szteroidok szintézisében (sima felszínű ER) játszik szerepet.
- Golgi-apparátus: A fehérjék és lipidek módosításáért, csomagolásáért és szállításáért felelős.
- Lizoszómák: Emésztőenzimeket tartalmaznak, amelyek a sejten belüli emésztést, valamint a "salakanyagok" lebontását végzik.
- Centroszóma: A sejtosztódás során szerepet játszó mikrotubulusok szerveződésében vesz részt.
A citoszkeleton egy fehérjékből álló, dinamikusan változó hálózat, amely biztosítja a sejt alakját, tartását és lehetővé teszi a sejten belüli mozgást, valamint a sejtek mozgását.

2.2. A Sejtosztódás: Mitózis és Meiózis
A sejtek szaporodása két fő típusa a mitózis és a meiózis.
A mitózis az ivartalan szaporodás alapja, és a testi sejtek osztódása során történik. Célja, hogy két, genetikailag azonos leánysejtet hozzon létre az anyasejtből. A folyamat során a kromoszómák megkettőződnek (S-fázis), majd szétválnak a két pólus felé, végül a sejt kettéosztódik. A mitózisnak több szakasza van: profázis, metafázis, anafázis és telofázis.

A meiózis az ivaros szaporodáshoz szükséges, és az ivarsejtek (spermák és petesejtek) képződését jelenti. A meiózis során a kromoszómák száma megfeleződik (redukálódik), így jönnek létre haploid ivarsejtek. A meiózis két fő szakaszból áll: meiózis I. és meiózis II. A meiózis I. során a homológ kromoszómák párosodnak és átkereszteződhetnek (crossing-over), majd szétválnak. A meiózis II. pedig lényegében egy mitózissal megegyező folyamat, ahol a kromatidák válnak szét.

2.3. Anyagszállítás a Sejtmembránon Keresztül
Az anyagok szállítása a sejtmembránon keresztül többféle módon történhet:
- Passzív transzport: Nem igényel közvetlen energia befektetést, az anyagok a koncentrációgrádiens irányába mozognak.
- Diffúzió: Az anyagok spontán terjedése a magasabb koncentrációjú helyről az alacsonyabb felé. Ilyen módon jutnak át a membránon a gázok (O2, CO2) és kis, apoláros molekulák.
- Facilitált diffúzió: Specifikus transzportfehérjék segítik az anyagok átjutását a membránon, de továbbra sem igényel energiát. Ilyen módon jutnak át a glükóz és az aminosavak.
- Ozmosis: A víz diffúziója a féligáteresztő hártyán keresztül, a kisebb koncentrációjú oldat felől a nagyobb koncentrációjú felé.
- Filtráció: Az anyagok hidrosztatikai nyomáskülönbség hatására jutnak át a membránon. Például a vesében a vérszűrlet képződése.

- Aktív transzport: Energia (ATP) felhasználásával történik, és lehetővé teszi az anyagok szállítását a koncentrációgrádiens ellenében is.
- Ionpumpák: Például a Na+-K+ pumpa, amely fenntartja a sejtek ionháztartását és az ingerelhetőséget.
- Transzportfehérjék: Egyes fehérjék képesek több anyagot egyidejűleg szállítani (co-transzport), akár azonos, akár ellentétes irányban.
- Endocitózis és exocitózis: Nagyméretű molekulák, részecskék vagy akár egész sejtek be- vagy kiszippantása a sejthártya beharapódásával (endocitózis), illetve a sejten belüli hólyagok kiürítése a sejten kívülre (exocitózis).

3. Szövetek: A Sejtek Szervezett Csoportjai
A szövetek azonos eredetű és funkciójú sejtek, valamint az általuk termelt extracelluláris mátrix összessége. Az emberi testben négy alapvető szövettípust különböztetünk meg: hám-, kötő-, izom- és idegszövet.
3.1. Hám- és Fedőhámok
A hámsejtek (epithel sejtek) a test külső és belső felszíneit fedik, valamint mirigyeket alkotnak. Feladataik közé tartozik a védelem, a felszívás, a kiválasztás és a szekréció. A hámok típusait a sejtek alakja (lapos, köbös, henger) és a rétegek száma (egyrétegű, többrétegű) alapján osztályozzák.

- Egyszerű laphám: Vékony, lapos sejtekből áll, ideális a diffúzióhoz (pl. tüdő léghólyagjai, vérerek belső felszíne).
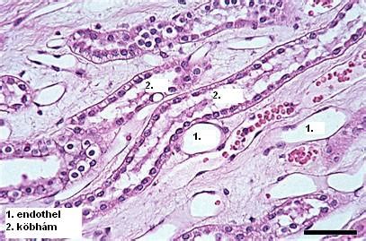
- Egyszerű köbhám: Köb alakú sejtek, főként kiválasztást és felszívást végeznek (pl. vesecsatornák).
- Egyszerű hengerhám: Hosszúkás sejtek, gyakran csillókkal vagy mikrobolyhokkal borítva, felszívás és szekréció jellemzi (pl. bélrendszer).
- Többrétegű laphám: Ellenálló, védelmet nyújtó hám (pl. bőr külső rétege, szájüreg).
- Átmeneti hám (urothelium): Rugalmas, nyúlékonnyá alakítható hám, amely a húgyutakat béleli.
3.2. Kötő- és Tartószövetek
A kötőszövetek a testet összekötik, megtámasztják és védik. Sokféle sejtet és bőséges extracelluláris mátrixot tartalmaznak.
- Kötőszövetek általános jellemzői:
- Sejtek: Fibroblasztok (mátrixtermelők), makrofágok, hízósejtek, plazmasejtek.
- Extracelluláris mátrix: Rostos elemek (kollagén, elasztin) és amorf alapállomány.
- Típusai:
- Lazarostos kötőszövet: Gyakori, rugalmas, támasztó és tápláló funkciójú. Az ínnyaláb felépítésében is szerepet játszik.

- Tömör rostos kötőszövet: Nagy mechanikai szilárdságot biztosít (pl. inak, szalagok). Az ín rostjai speciális kollagén rostokból épülnek fel.

- Zsírszövet: Energia raktározás, hőszigetelés és mechanikai védelem.

- Porcszövetek: Rugalmas, de szilárd szövet, ízületekben, fülben, orrban található.

- Csontszövet: Kemény, szilárd szövet, amely a vázat alkotja.

- Vér: Speciális folyékony kötőszövet, amely szállító és immunfunkciókat lát el. A vérplazma és a vér alakos elemei (vörösvértestek, fehérvérsejtek, vérlemezkék) alkotják.

- Lazarostos kötőszövet: Gyakori, rugalmas, támasztó és tápláló funkciójú. Az ínnyaláb felépítésében is szerepet játszik.
3.3. Izomszövetek
Az izomszövetek összehúzódásra képes sejtekből állnak, amelyek mozgást tesznek lehetővé. Három fő típusa van: simaizom, harántcsíkolt izom (vázizom) és szívizom.
- Vázizomzat: Akaratlagosan irányítható, felelős a test mozgásáért. Az izomrostok aktin és miozin filamentumokból állnak, amelyek az összehúzódást végzik. A sarcomere az izomrost alapvető összehúzódási egysége. Az izomanyagcserében a fehérjék, zsírok és szénhidrátok egyaránt fontos szerepet játszanak az energiaellátásban.

- Simaizom: Akaratlanul működik, belső szervek falában található (pl. bél, erek).
- Szívizom: Akaratlanul működik, speciális szerkezetű, a szív falát alkotja.
3.4. Ideg- és Érzőszövetek
Az idegszövetek felelősek az ingerületek felvételéért, továbbításáért és feldolgozásáért. Az idegsejtek (neuronok) és a gliasejtek alkotják.
- Neuronok: Az idegrendszer alapvető egységei, amelyek sejttestből, dendritekből (ingert felvevő nyúlványok) és egy axonból (ingert továbbító nyúlvány) állnak. Az axonok körül velőshüvely (myelin) található, amely gyorsítja az ingerületvezést. A Ranvier-féle befűződések megszakítják a velőshüvelyt, és az ingerület "ugrálva" terjed közöttük (szaltatoros vezetés).

- Szinaszisok: Az idegsejtek közötti kapcsolatok, ahol az ingerület kémiai úton (neurotranszmitterek segítségével) vagy elektromos úton (réskapcsolatok) adódik át.

- Érzékhámok: Speciális hámsejtek, amelyek a külvilág ingereit fogadják (pl. látás, hallás, tapintás).

Idegrendszer
4. A Szervezet Belső Környezete: Víz és Elektrolitok
A szervezet belső környezete, különösen a sejtek közötti folyadék (interstitialis folyadék) és a vérplazma, állandó összetételét a homeosztázis biztosítja. A víz a test legfontosabb alkotórésze.
4.1. A Szervezet Víztereinek Szabályozása
A test víztartalma és eloszlása szigorúan szabályozott. A víz főként az intracelluláris és az extracelluláris térben található. Az extracelluláris tér további részekre osztható: vérplazma, interstitialis folyadék és transzcelluláris folyadékok (pl. agy-gerincvelői folyadék, ízületi folyadék).

A víz- és elektrolit-háztartást elsősorban a vesék és hormonok (pl. ADH, aldoszteron) szabályozzák. A vízmolekulák disszociációja révén keletkező ionok (H+, OH-) fontos szerepet játszanak a pH szabályozásában.

4.2. A Vér pH-szabályozása és Pufferrendszerei
A vér normál pH-ja enyhén lúgos (kb. 7,35-7,45). A pH ingadozásait pufferrendszerek akadályozzák meg, mint például a bikarbonát pufferrendszer. Az anyagcsere során keletkező savak (pl. tejsav) semlegesítésében a hemoglobin is szerepet játszik.

4.3. A Vér Szerepe a Szállításban és az Immunrendszerben
A vér nemcsak a tápanyagokat és oxigént szállítja, hanem a salakanyagokat is elvezeti. Emellett kulcsfontosságú szerepet játszik az immunrendszer működésében a fehérvérsejtek és antitestek révén.

4.4. Vérképzés és Véralvadás
A vér alakos elemei a csontvelőben képződnek. A véralvadás egy komplex folyamat, amely a vérzés megállítását szolgálja. A véralvadási kaszkád során különböző véralvadási faktorok aktiválódnak, amelyek végül fibrint hoznak létre, ami a véralvadék vázát adja.

4.5. Vérsejtek és Vérzékenység
A vörösvértestek oxigénszállításáért felelős hemoglobin nevű fehérjét tartalmazzák. A hemoglobin tetramer szerkezete lehetővé teszi az oxigén megkötését.


4.6. Vércsoportok és Rh Faktor
Az emberi vér vércsoportjai (A, B, AB, 0) és az Rh faktor öröklődését genetikai tényezők határozzák meg. Ezeknek a vércsoportoknak a transzfúzió szempontjából van kiemelkedő jelentősége.

5. A Mozgás Szabályozása és Az Izomzat Működése
A mozgás bonyolult folyamat, amely az idegrendszer, az izomzat és a csontrendszer összehangolt működését igényli.
5.1. Az Izomzat Felépítése és Működése
Az izmok összehúzódását az aktin és miozin filamentumok egymáson való elcsúszása okozza. Az izomrostok speciális egységekbe, szarkomerekbe rendeződnek. Az izommunka során különböző energiaszolgáltató rendszerek működnek párhuzamosan, attól függően, hogy milyen intenzitású és időtartamú a terhelés.

Az izmok típusait (pl. mellkas-karizmok, hátizmok, lábizmok) funkciójuk és elhelyezkedésük alapján különböztetjük meg.

5.2. Az Ideges Szabályozás és Reflexek
Az idegrendszer felügyeli és irányítja az izommozgásokat. Különböző szinteken történik a mozgásszabályozás, a gerincvelőtől az agykéregig.
- Gerincvelő: Számos reflexközpontot tartalmaz.

- Reflexek: Az ingerekre adott automatikus, akaratlan válaszok. Például a térdreflex vagy a hajlító-feszítő reflex.

tags: #ken #anorganikus #hurok
Népszerű bejegyzések:
